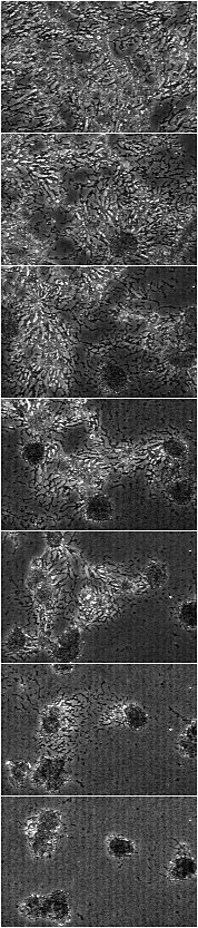
Aggregation and macrocyst formation of Dictyostelium mucoroides

Back to movies page
english | japanese

Intervals: 1 hour, field width: 1.1 mm
Movies (intervals 4 min)
QuickTime | avi (1000kb)
Kyoto Dictyostelium Group Homepage --- english | japanese